Porcelain Bonded Crowns
Porcelain Bonded Crowns
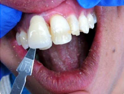
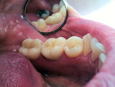
Porcelain Bonded Crowns are a traditional type of crown where a metal interior or base is fused with porcelain. The metal interior is made from an alloy and this is what gives the material its strength.
These types of crowns can be used on teeth which are decayed or damaged. They are a strong and long lasting crown and can display fantastic aesthetical results.
Porcelain Bonded Ceramic crowns are considered to have an excellent fit and are very robust. This type of crown is cheaper than other types of crowns such as all ceramic crowns.
How are Porcelain Bonded Ceramic crowns fitted?
The tooth is firstly prepared. An impression of your teeth is then taken and sent to the lab where a technician will fabricate your crown. When it’s ready for fitting the dentist will check the crown for fit and shade and then cement the crown in place.





