Implants
Implants
A dental implant is a surgical device used to replace one or more missing teeth by fusing bone to an implant which is then attached to a crown or bridge. The modern dental implant uses the biologic process of osseointegration where a material forms a structural and functional connection between living bone and the surface of a load-bearing artificial implant without causing the body to recognize it as a foreign material.
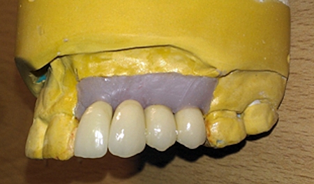
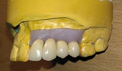
Here at Sky Dental we offer many types of implant systems however ATLANTIS™ is the only patient-specific CAD/CAM abutments.
With Atlantis implants you get high precision and quality every time. They are available for both cement- and screw-retained restorations.
ATLANTIS™ abutments are designed and produced for unique edentulous spaces, in relation to the surrounding teeth and soft tissue. ATLANTIS™ takes into consideration patient-specific biology, anatomy and engineering principles, as individual as every patient.
ATLANTIS™ abutments allow you the freedom to choose among biocompatible materials for each case. ATLANTIS™ abutments for cement-retained restorations are produced in titanium, gold-shaded titanium and four shades of zirconia.





